Người phụ nữ 57 tuổi gặp biến chứng hút mỡ nghiêm trọng dẫn đến thủng ruột, suy hô hấp và sốc nhiễm khuẩn, khiến bà phải trải qua hành trình 81 ngày điều trị đầy nguy hiểm và đối mặt nguy cơ tử vong rất cao.
- Đau buồn vì chồng mất: Người mẹ trẻ ôm con 4 tuổi nhảy sông lúc 0h15 giữa đêm lạnh
- Einstein và chân trời vô hình: Khoa học đi đến đâu khi bước qua ranh giới vật chất?
- Nhồi máu cơ tim ở người trẻ: Nguy cơ tăng nhanh ngoài dự đoán
Biến chứng hút mỡ khiến bệnh nhân suy đa cơ quan nguy kịch
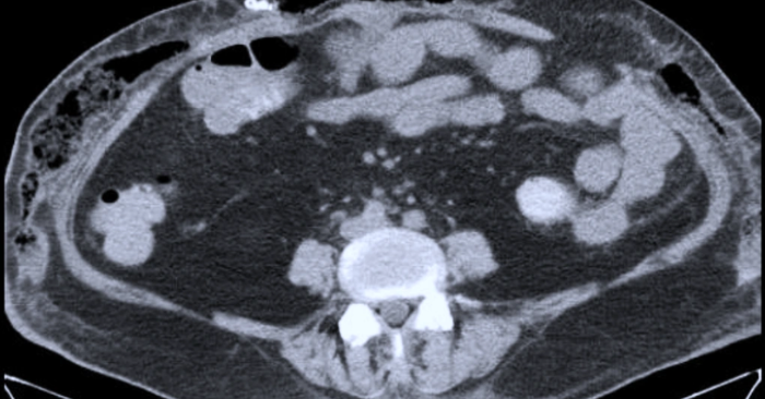
Người phụ nữ có tiền sử đái tháo đường, tăng huyết áp và béo phì đi hút mỡ tại cơ sở tư nhân.trong quá trình phẫu thuật bị rơi vào tình trạng suy hô hấp và sốc nhiễm khuẩn. Bệnh nhân nhập Bệnh viện Quân y 175 trong tình trạng tổn thương đa cơ quan cùng vùng bụng phù nề và đau dữ dội. Kết quả chụp CT cho thấy tràn khí dưới da, tụ dịch và thoát vị thành bụng, làm tăng mức nguy hiểm của biến chứng hút mỡ.
Bác sĩ xác định thủng ruột và nhiễm trùng mô mềm tiến triển nặng
Ê kíp điều trị tiến hành hồi sức và phẫu thuật cấp cứu nhưng vẫn diễn tiến nặng hơn. Bụng bệnh nhân chướng nhiều cùng dịch lợn cợn trong ổ bụng. Hội chẩn chuyên khoa xác định người phụ nữ bị thủng bít ruột non và rò qua thành bụng.Bụng bệnh nhân bị nhiễm trùng mô mềm lan rộng. Trong giai đoạn hậu phẫu, bệnh nhân suy kiệt nặng cùng viêm phổi. Nhiễm nấm và suy gan làm tăng mức độ nguy hiểm. Sau 56 ngày hồi sức và 25 ngày điều trị chuyên sâu, bệnh nhân mới thoát khỏi nguy kịch.
Cảnh báo nguy cơ cao từ biến chứng hút mỡ và khuyến cáo an toàn
Bác sĩ cho biết cannula khi thao tác sai sẽ xuyên qua phúc mạc và gây thủng ruột. Nhất là ở người có sẹo mổ hoặc lớp mỡ dày. Biến chứng hút mỡ thường diễn tiến âm thầm nên dễ chẩn đoán nhầm và chậm xử trí, làm tăng nguy cơ tử vong. Thuyên tắc mỡ cũng có thể xảy ra ở mọi vị trí hút mỡ và gây suy hô hấp nguy hiểm. Chuyên gia khuyến cáo người dân không xem hút mỡ là thủ thuật an toàn tuyệt đối. Cần được sàng lọc cùng tư vấn kỹ lưỡng trước khi thực hiện để giảm thiểu rủi ro.
Theo: Dân trí

