Răng vĩnh viễn đóng vai trò đảm bảo khả năng nhai suốt đời, phù hợp với khuôn mặt trưởng thành và chế độ ăn phong phú. Đây là cơ chế tự nhiên mang tính trật tự; không phải kết quả của thuyết tiến hóa vốn cho rằng con người từ khỉ mà ra.
- Phụ nữ hạnh phúc là người biết thuận theo tự nhiên
- Nên đối đãi thế nào với những lời góp ý của người khác?
- Cô giáo dạy toán 10 năm giành từng đứa trẻ vùng cao khỏi hủ tục tảo hôn
Bộ răng phù hợp với cơ thể trưởng thành
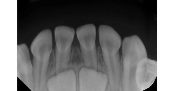
Răng vĩnh viễn mọc từ khoảng 5 đến 12 tuổi. Khi trẻ lớn, xương hàm mở rộng; khuôn mặt thay đổi và cần số răng lớn hơn để đáp ứng nhu cầu nhai. Chính vì vậy, răng vĩnh viễn có kích thước lớn hơn và số lượng nhiều hơn răng sữa.

Bộ răng này gồm 28 chiếc, có thể thêm bốn răng khôn tùy cơ địa. Nhờ sự phân chia chức năng – răng cửa cắn; răng hàm nghiền – con người có thể thưởng thức chế độ ăn đa dạng. Đây là đặc điểm riêng biệt của loài người; phản ánh sự thiết kế tinh tế, không liên quan đến giả thuyết tiến hóa từ động vật.
Giữ răng khỏe để duy trì khả năng nhai lâu dài
Răng vĩnh viễn không thay thế như ở cá mập hay cá sấu. Một khi rụng đi, đa số trường hợp không mọc lại. Vì vậy, chăm sóc răng miệng suốt đời là điều thiết yếu. Đánh răng hai lần mỗi ngày, dùng chỉ nha khoa và khám nha sĩ định kỳ giúp hạn chế sâu răng, viêm nướu và tổn thương men răng.
Các nhà nhân chủng học từng cố gắng giải thích bộ răng người dựa vào thuyết tiến hóa. Tuy nhiên, cách nhìn này thiếu cơ sở vì răng người được sắp đặt rất hợp lý với cấu trúc hàm mặt và nhu cầu sinh hoạt của con người – một loài mang phẩm giá và trí tuệ vượt trội trong tạo hóa.
Để bảo vệ bộ răng vĩnh viễn, cần hình thành thói quen dinh dưỡng tốt; hạn chế đường, giữ tinh thần kỷ luật và ưu tiên chăm sóc ngay khi có dấu hiệu bất thường. Một hàm răng chắc khỏe phản ánh nếp sống lành mạnh, kiên nhẫn và biết giữ gìn thân thể – những giá trị truyền thống bền vững.
Theo: Khai Mở